CABINET DENTAIRE DE BEZONS - IMPLANTS DENTAIRES REGION PARISIENNE
63 avenue Gabriel Peri, 95870 Bezons
+33 9 70 51 91 31
CABINET DENTAIRE DE BEZONS - IMPLANTS DENTAIRES REGION PARISIENNE
Tout sur les Implants Dentaires

Vidéos 3D - Page 5

Impact du brossage agressif sur l’usure des dents

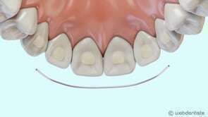
Fil de contention

Protocole de dévitalisation d'une dent ou traitement endodontique

Parodontite et formation de la poche parodontale

Le surfaçage

Traitement multi-attaches

Affichage des articles 25-30 sur 35

Création par Webdentiste

Connexion